Menu
2022-23 Advanced Papillon Course
Home
Case of the Month
Webinars
1 Introduction
2 Nodular goiter
Echogenic figures
Chapter Home
Introduction
Manual
Courses
Cases
Videolibrary
Exam
3 Non-nodular thyroid
4 Non-thyroid neck
5 US-interventions
6 Advanced courses
7 Related topics
Supplement
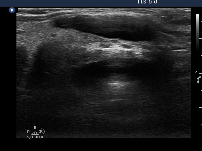
Intranodular hyperechogenic figures - case 1158 (ultrasonographic picture 6)
Isthmus, another longitudinal scan.