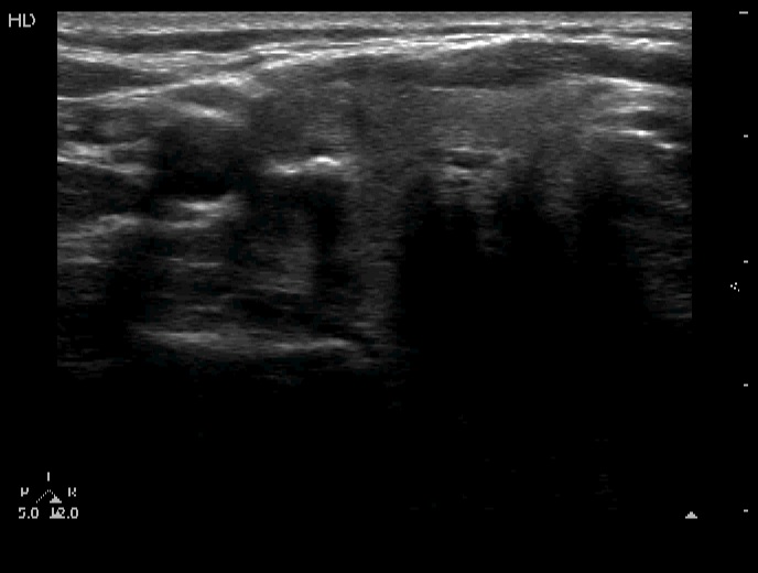
Intranodular hyperechogenic figures - case 367 (ultrasonographic picture 1)


  Back to Case Next picture

Right lobe, horizontal view

Right lobe, transverse view. There is a coarsely calcified lesion in the lateral part of the lobe.

mask