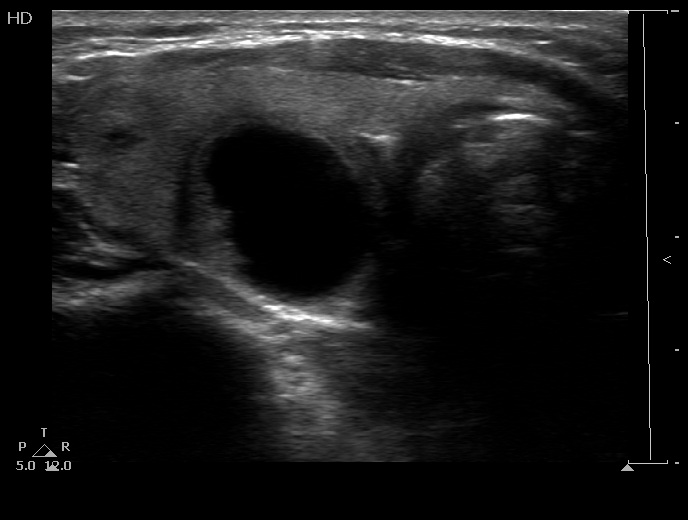
Intranodular hyperechogenic figures - case 367 (ultrasonographic picture 4)
|
|
|
|
Lower part of the right lobe, another trasnverse view. There is a small solid area in the lateral part of the nodule.
