Intranodular hyperechogenic figures - case 372 (ultrasonographic picture 6)


Previous picture Back to Case Next picture


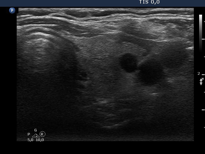
Left lobe, trasnverse scan. This lobe is also echonormal and contains a cystic lesion in this section.

mask