Intranodular hyperechogenic figures - case 401
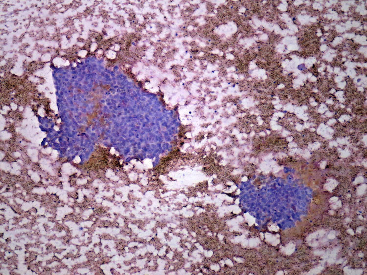
(cytologic picture 1 of papillary cancer)
| |
|
|
|
Pap-smear, 100x. Two papillary cell groups with nuclear crowding and overlapping.

