Intranodular hyperechogenic figures - case 777 (cytologic picture 1)


Previous picture Back to Case Maximize Next picture


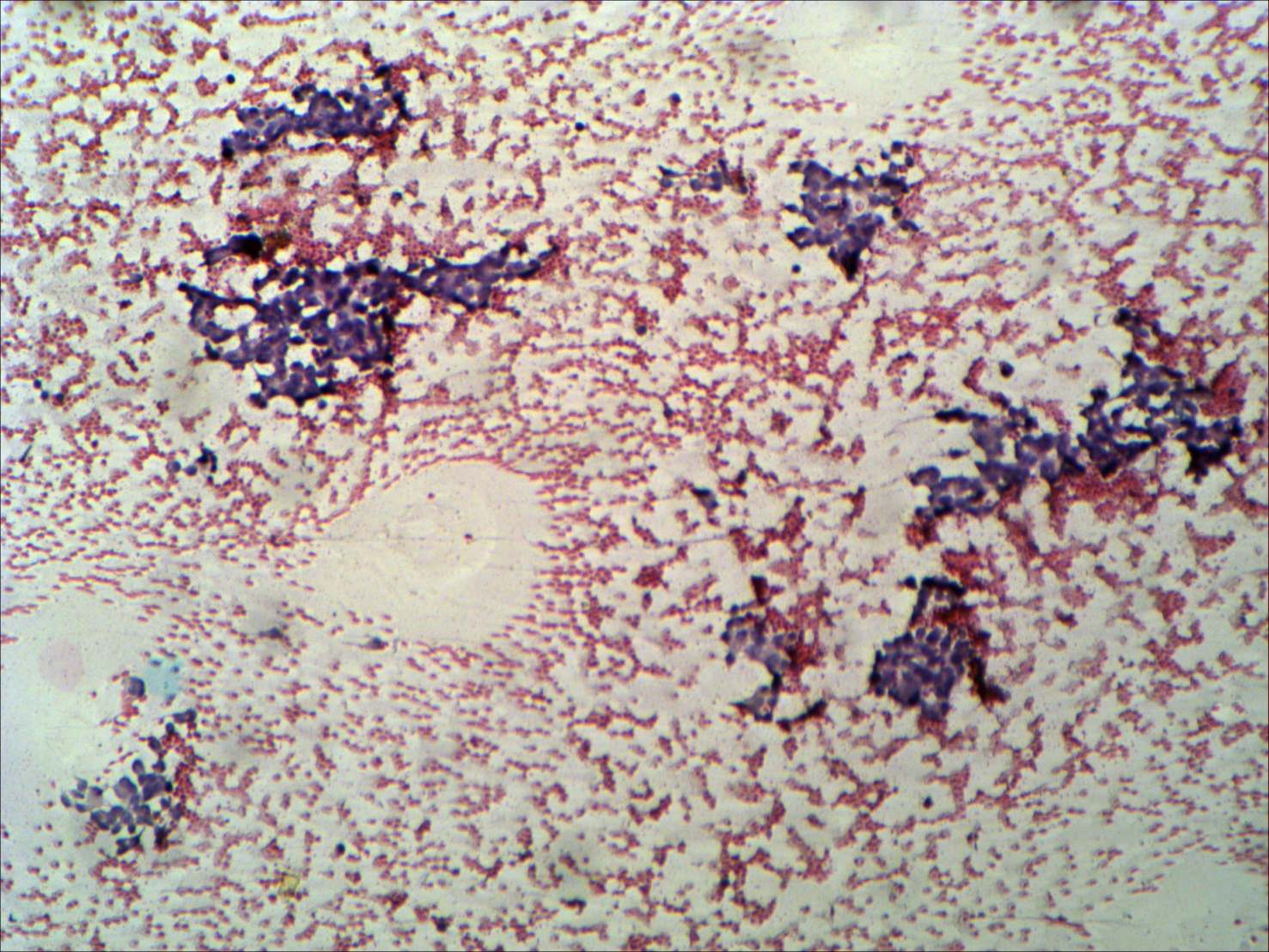
Pap-smear, 100x.   There is no colloid in the background. Thyrocytes are in loose structures.

mask