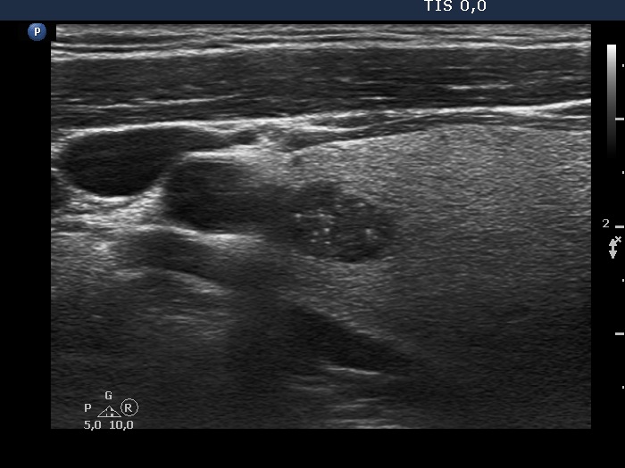
Intranodular hyperechogenic figures - case 975 (ultrasonographic picture 3)
|
|
|
|
Upper part of the right lobe, longitudinal view. The bright granules cannot be categorized other than microcalcifications.
