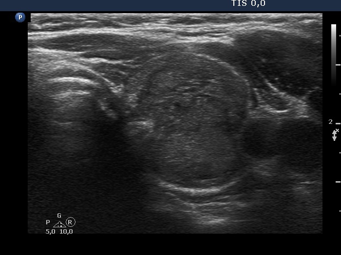
The echogenicity of the nodule - case 2067 (ultrasonographic picture 5)


Previous picture Back to Case Next picture

Right lobe, longitudinal scan

Left lobe, transverse scan. This lobe is also hypoechoic.

 

 

 

 

mask