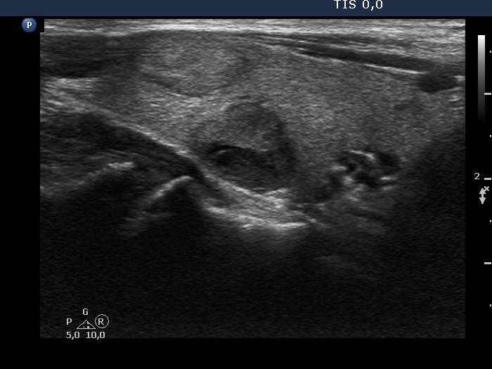
The echogenicity of the nodule - case 2120 (ultrasonographic picture 5)


Previous picture Back to Case Next picture

Right lobe, longitudinal scan

Right lobe, another longitudinal view. The mass in the dorsal part is composed of multiple lesions.

 

 

 

 

mask