The echogenicity of the nodule - case 33 (cytologic picture 3)


Previous picture Back to Case Maximize Next picture

Right lobe, longitudinal scan

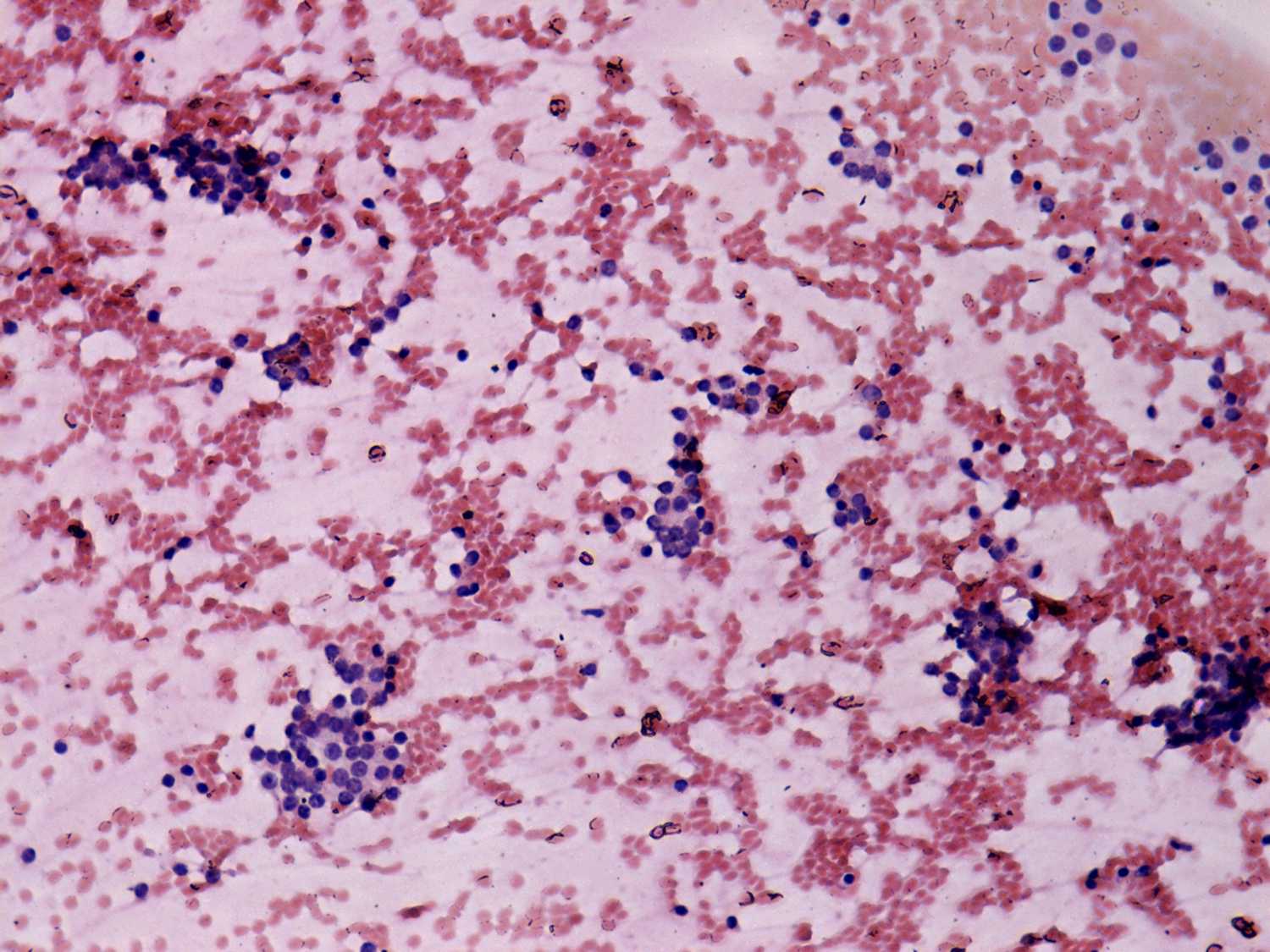
Pap-smear, 200x.   Follicular cells occur predominantly in microfollicles.

 

 

 

 

 

mask