The echogenicity of the nodule - case 477 (cytologic picture 1)


Previous picture Back to Case Maximize Next picture

Right lobe, longitudinal scan

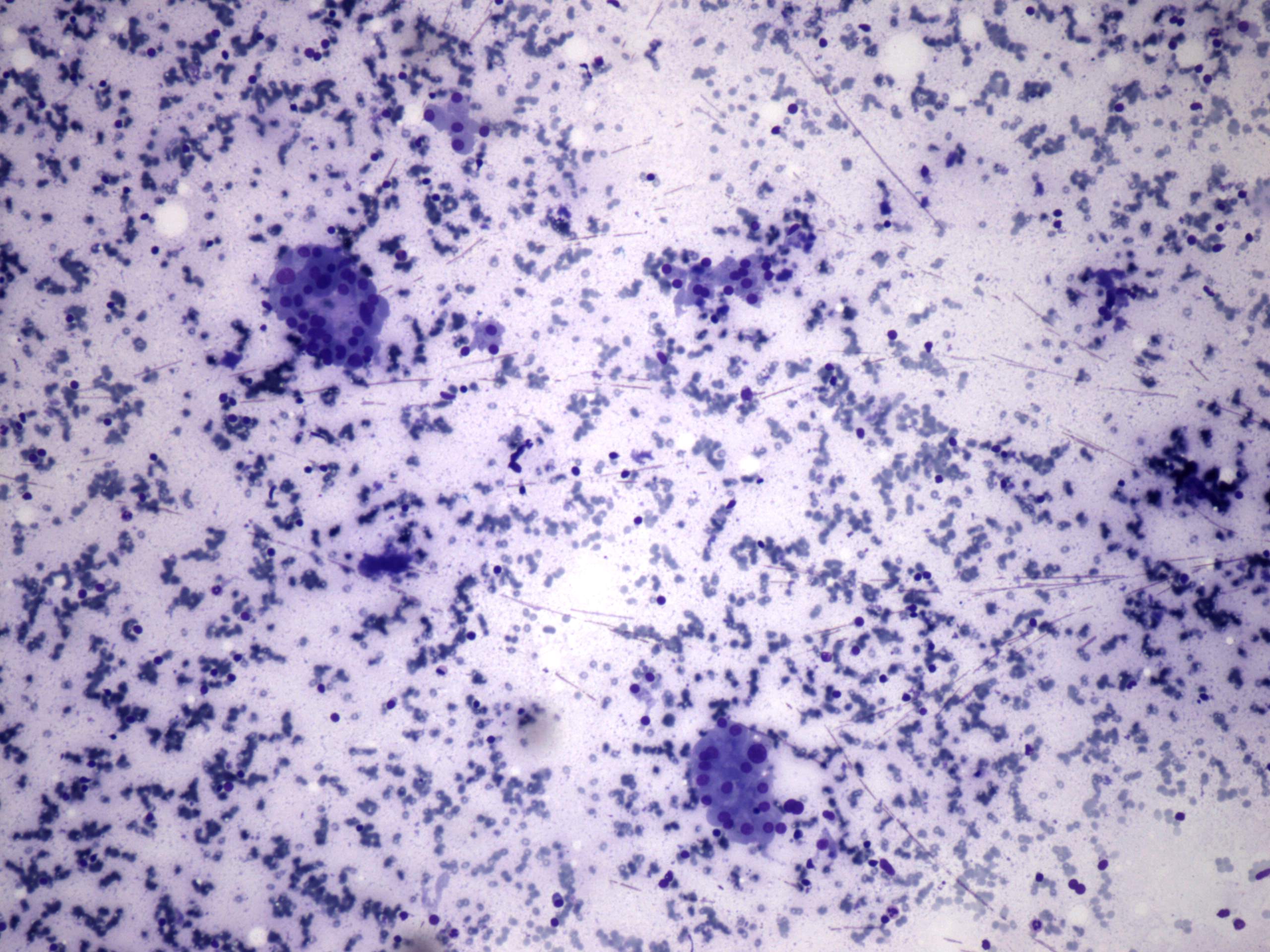
Wright-Giemsa staining, 100x.   There are several groups composed of oxyphilic cells.

 

 

 

 

 

mask