The echogenicity of the nodule - case 671 (cytologic picture 2)


Previous picture Back to Case Maximize Next picture

Right lobe, longitudinal scan

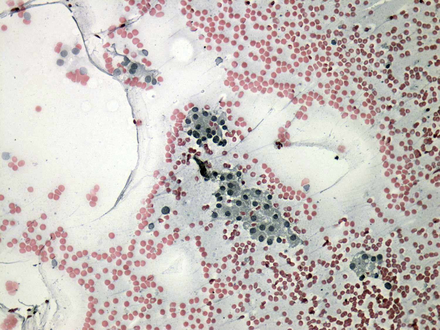
Pap-smear, 200x.   There are loose groups of cells showing vacuolization. Single cells have abundant cytoplasm.

 

 

 

 

 

mask