The echogenicity of the nodule - case 755 (cytologic picture 4)
|
|
|
![]() |
|
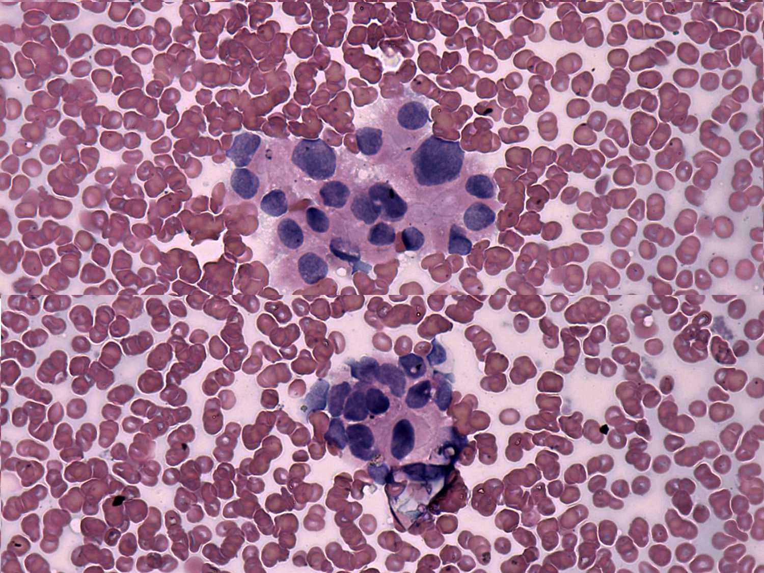
Pap-smear, 400x. A rosette-like structure. Most of the cells are round but there are elongated atypical cells and two extremely enlarged, pleomorphic cells, as well.

