The echogenicity of the nodule - case cons100_018 (cytologic picture 5)
|
|
|
![]() |
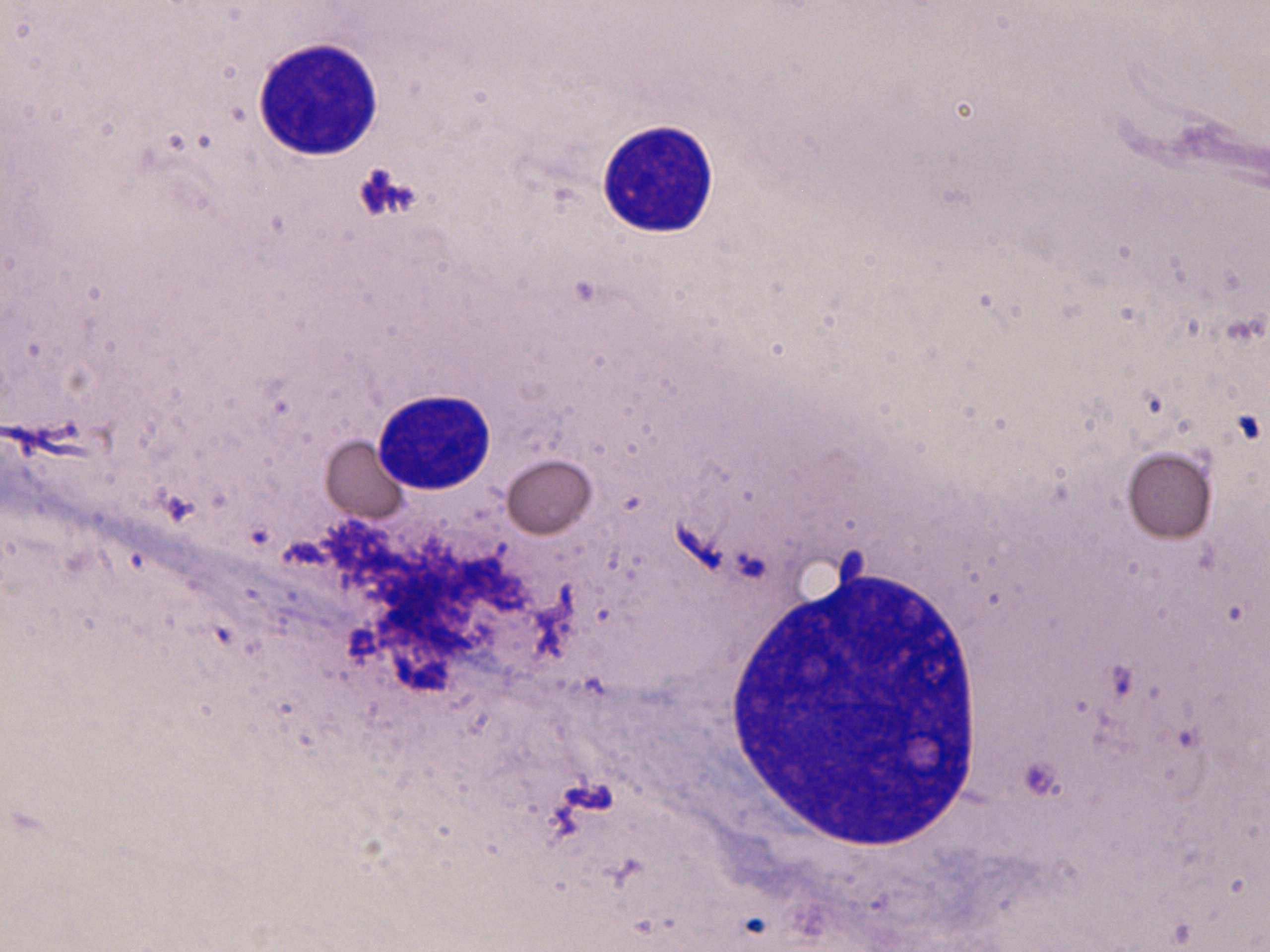
Wright-Giemsa staining, 1000x. There is an extremely enlarged nucleus. Note that the cells did not present any significant atypia, either grooves or inclusions or oxyphilic changes.

