Elastography - case 1217 (ultrasonographic picture 17)


Previous picture Back to Case Next picture

Right lobe, longitudinal scan

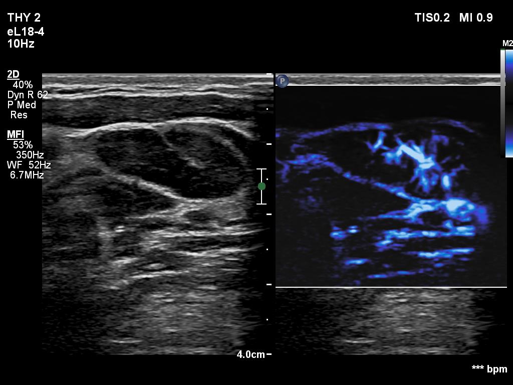
Lateral to the left lobe, longitudinal scan, microflow imaging. Note the irregular distribution of vessels.

 

 

 

 

mask