Elastography - case 1260 (ultrasonographic picture 8)


Previous picture Back to Case Next picture


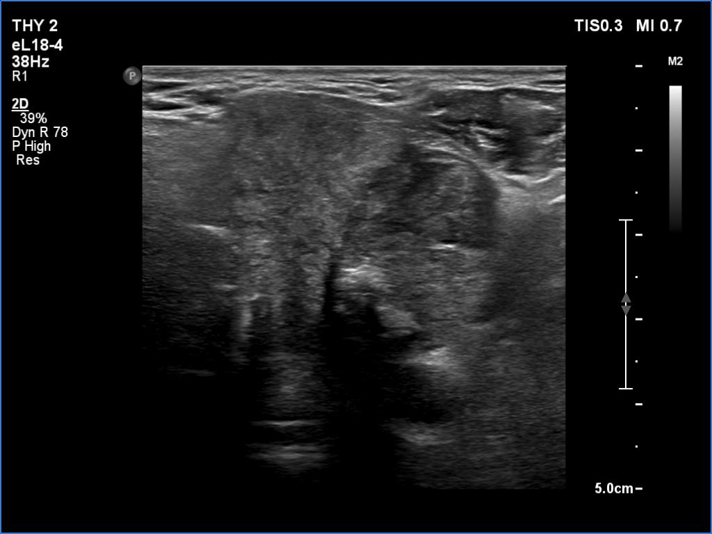
Left lobe, anther longitudinal view. The tumor has irregular borders.

mask