Elastography - case 1497 (ultrasonographic picture 4)


Previous picture Back to Case Next picture

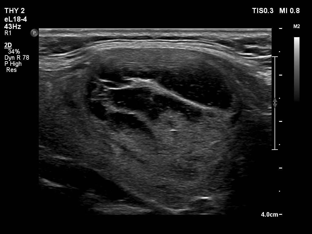
Right lobe, longitudinal scan

Left lobe, longitudinal scan. The lesion presents halo sign.

 

 

 

 

mask