Menu
2022-23 Advanced Papillon Course
Home
Case of the Month
Webinars
1 Introduction
2 Nodular goiter
Elastography
Chapter Home
Manual
Cases
3 Non-nodular thyroid
4 Non-thyroid neck
5 US-interventions
6 Advanced courses
7 Related topics
Supplement
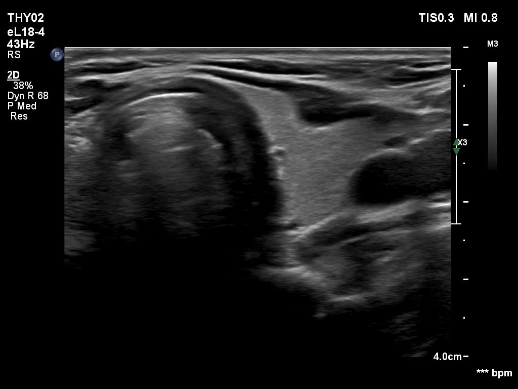
Elastography - case 1703 (ultrasonographic picture 6)
Lef lobe, transverse scan. This lobe is intact.