Elastography - case 188 (ultrasonographic picture 3)
|
|
|
|
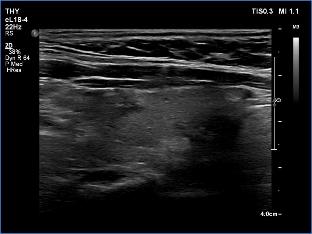
Right lobe, longitudinal scan - set to higher level of harmonization. There is an irregularly shaped hypoechoic area in the upper part of the lobe.
