Elastography - case 2089 (ultrasonographic picture 6)


Previous picture Back to Case Next picture

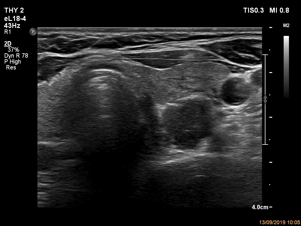
Right lobe, longitudinal scan

Left lobe, another transverse view. The dorsolateral part presents spiculated margins.

 

 

 

 

mask