Elastography - case 2145 (ultrasonographic picture 6)


Previous picture Back to Case Next picture

Right lobe, longitudinal scan

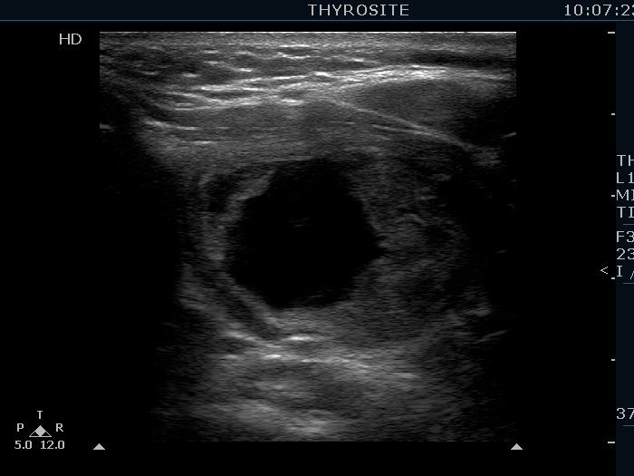
Left lobe, transverse scan - after aspirating 22 mL cystic fluid.

 

 

 

 

mask