Elastography - case 2150 (ultrasonographic picture 4)
|
|
|
|
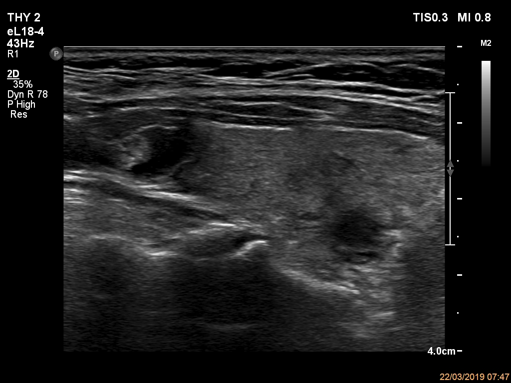
Right lobe, another longitudinal view. The echogenic figures in the upper nodule correspond to back wall figures caused by posterior enhanement. The almost completely cyst is impossible to categorize as peripheral or central.
