Elastography - case 650 (ultrasonographic picture 12)


Previous picture Back to Case Next picture

Right lobe, longitudinal scan

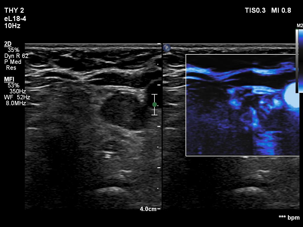
Under the left lobe, transverse scan, microflow imaging. There is a vessel entering the mass at its dorsal part.

 

 

 

 

mask