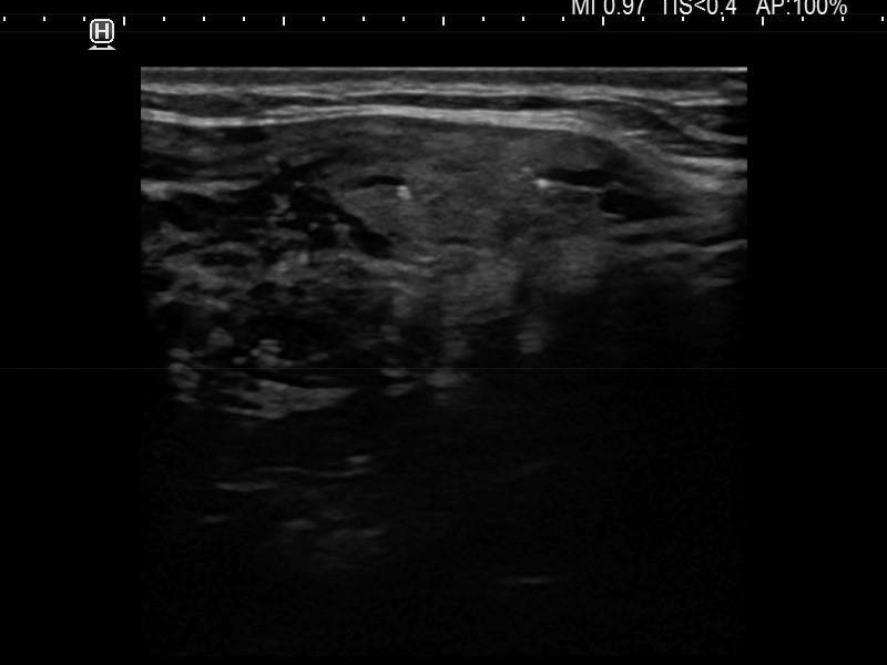
Intranodular hyperechogenic figures - case 694 (ultrasonographic picture 8)
|
|
|
|
Left lobe, another longitudinal view. The lower echogenic granule (right in the image) is located dorsal to a cystic area.
