Prev

Elastography: A lipoma - case 916

Nodular goiter

Next

Clinical data: A 49-year-old man requested evaluation of a neck mass which was discovered by the patient himself while shaving.

Palpation: There was a somewhat no abnormality.

Laboratory test: TSH 1.06 mIU/L, aTPO 0 U/mL.

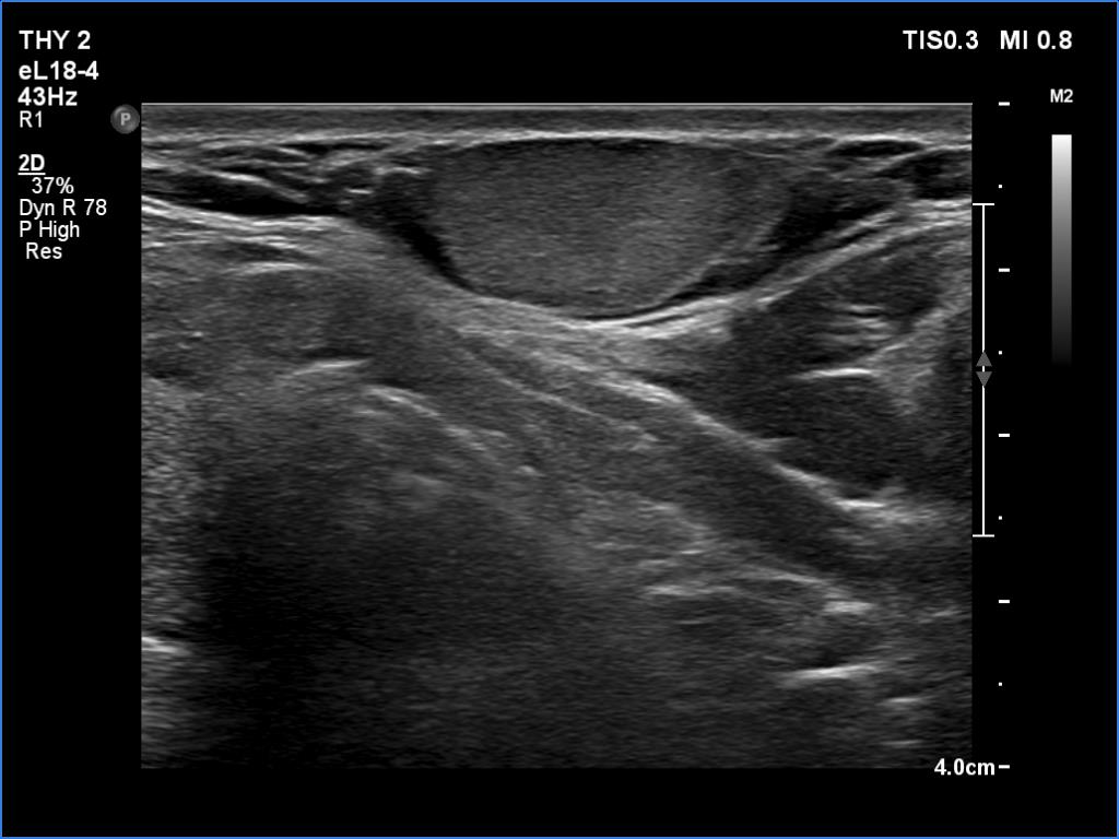
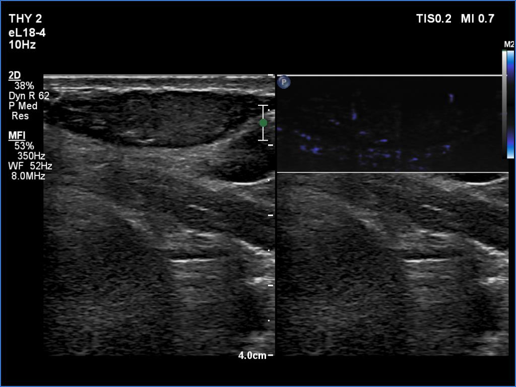
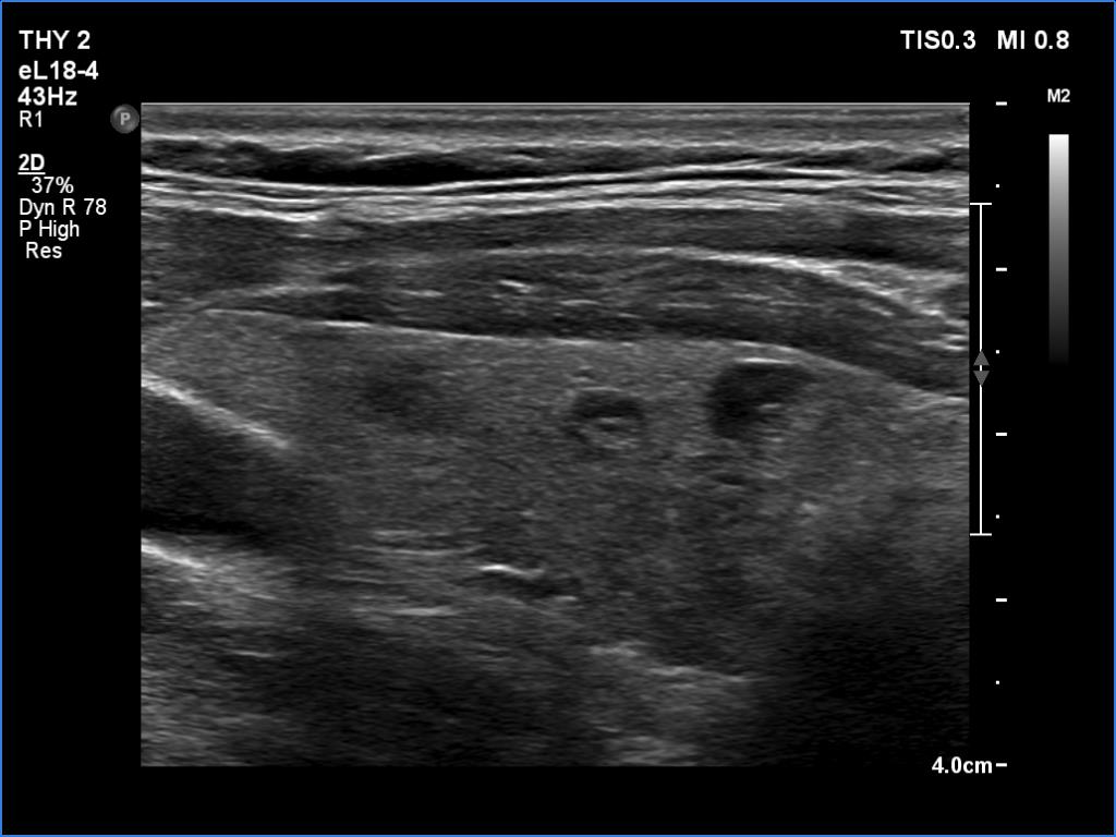
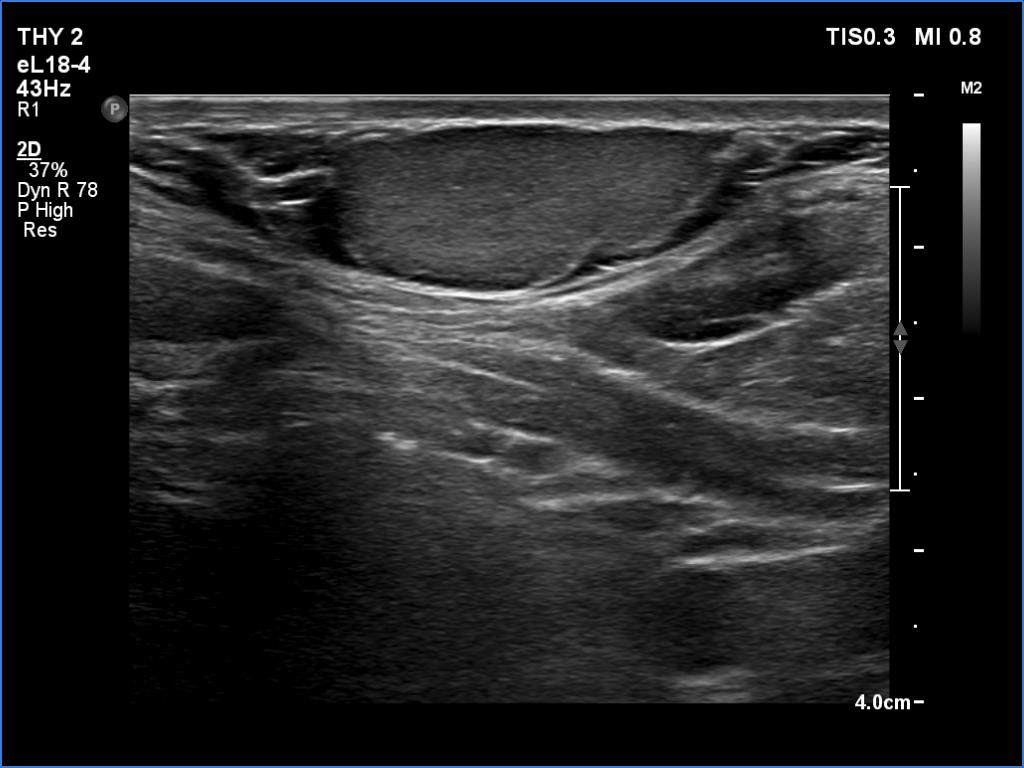
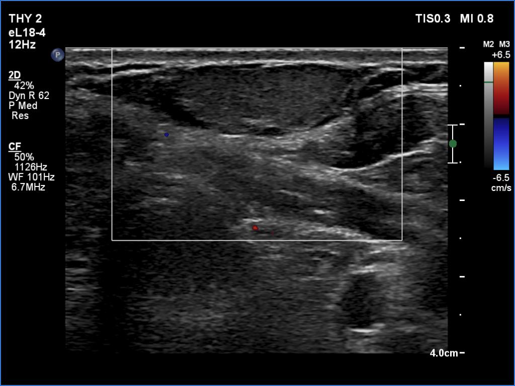
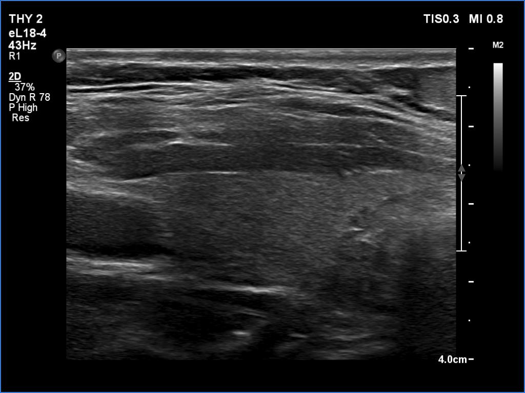
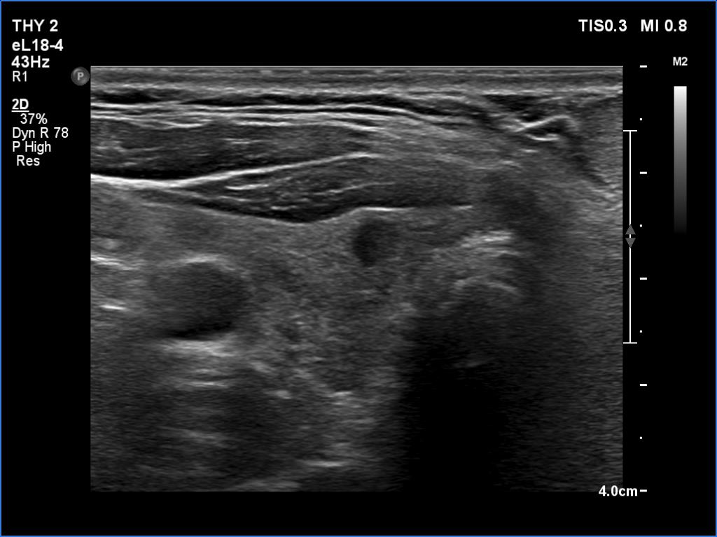
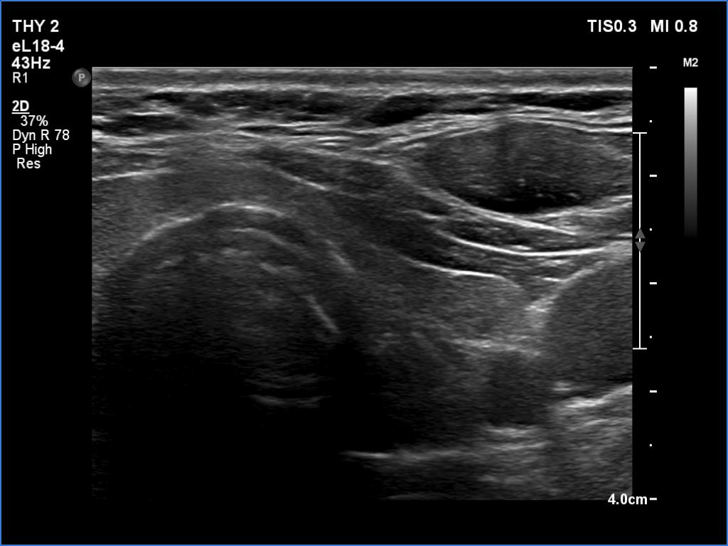
Ultrasonography. The thyroid was echonormal and had several small cystic lesions without any clinical or oncological importance. According to the palpable mass, a moderately hypoechoic lesion was detected several centimeters under the thyroid in the middle of the neck. The lesion was within the muscle tissue. It was homogeneous and presented no vascularity.

Aspiration cytology of the lesion resulted in lipoma.

Because the lesion, did cause no complaints and did not diturb the patient, a repeat ultrasound was suggested in three years.

Comment. Most lipomas have a characteristic soft consistency on which a diagnosis can be made without any further examination. Cytology is indicated if the origin is not ovious on palpation or if we can decrease the anxiety of the patients.

 

 

 

 

 

 

 

 

 

 

 

 

mask