Extrathyroidal spread - case conp 046 (cytologic picture 3)


Previous picture Back to Case Maximize Next picture

Right lobe, longitudinal scan

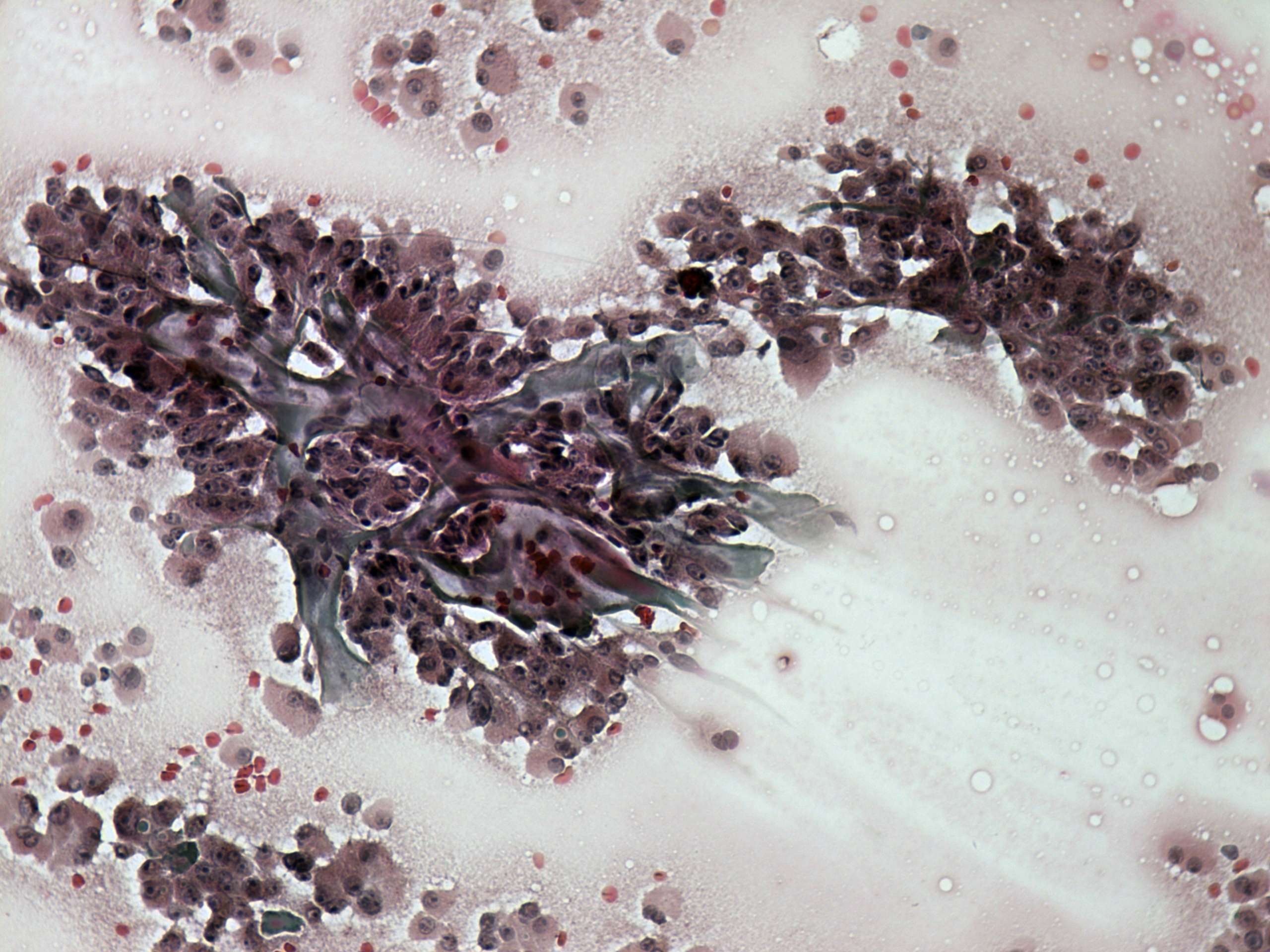
Pap-smear, 200x.   The larger cluster is composed of nests.

 

 

 

 

 

mask