Extrathyroidal spread - case conp 046 (cytologic picture 6)


Previous picture Back to Case Maximize Next picture

Right lobe, longitudinal scan

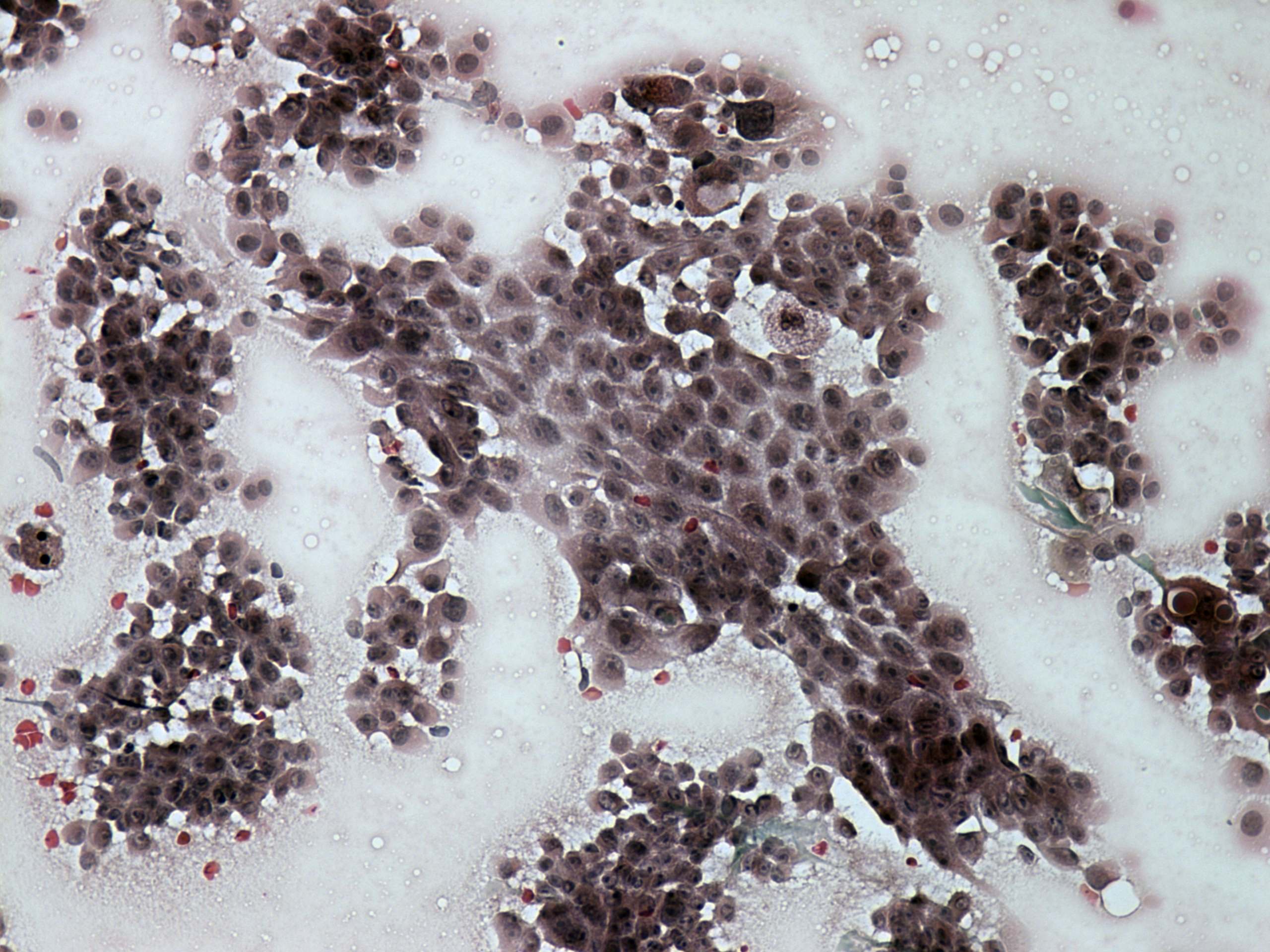
Pap-smear, 400x.  Follicular cells are located in trabeculae.

 

 

 

 

 

mask