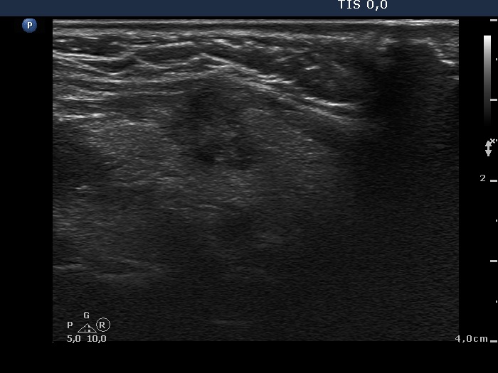
Extrathyroidal spread - case conp 057 (ultrasonographic picture 6)


Previous picture Back to Case Next picture


Left lobe, another longitudinal scan. This pattern is highly suspicious of an extrathyroidal invasion.

 

 

 

mask