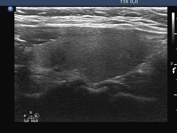
The shape of the nodule - case 1257 (ultrasonographic picture 6)
|
|
|
|
Left lobe, longitudinal view. The hypoechoic bands are caused by improper fitting of the transducer to the neck of the patient.
