TIRADS - case 1147 (cytologic picture 1)


Back to Case Maximize Next picture

Right lobe, longitudinal scan

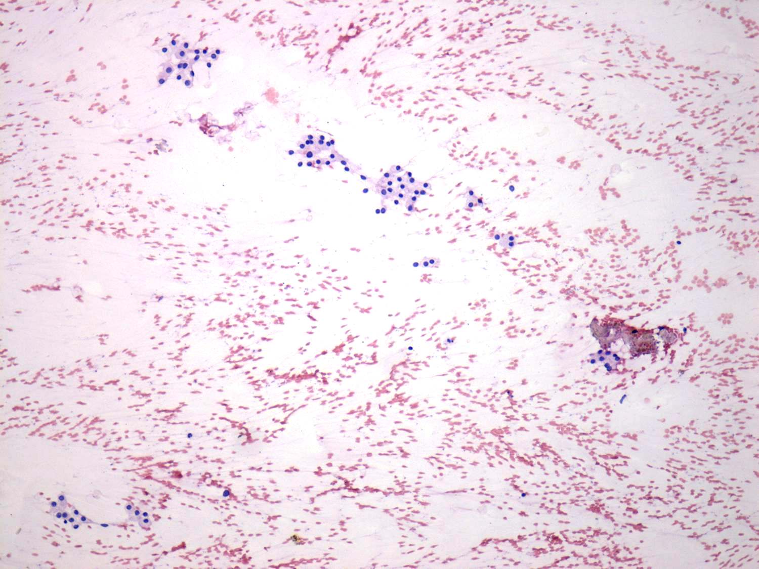
Pap-smear, 100x.   There is no colloid in the background. Follicular cells are in loose groups.

 

 

 

 

 

mask