Menu
2022-23 Advanced Papillon Course
Home
Case of the Month
Webinars
1 Introduction
2 Nodular goiter
TIRADS
Chapter Home
Manual
Courses
Cases
Videolibrary
Exam
3 Non-nodular thyroid
4 Non-thyroid neck
5 US-interventions
6 Advanced courses
7 Related topics
Supplement
TIRADS - case 1147
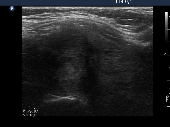
Follow-up examination six years after the first visit (ultrasonographic picture 9)
Left lobe, another longitudinal scan.