TIRADS - case 2086 (ultrasonographic picture 5)


Previous picture Back to Case Next picture

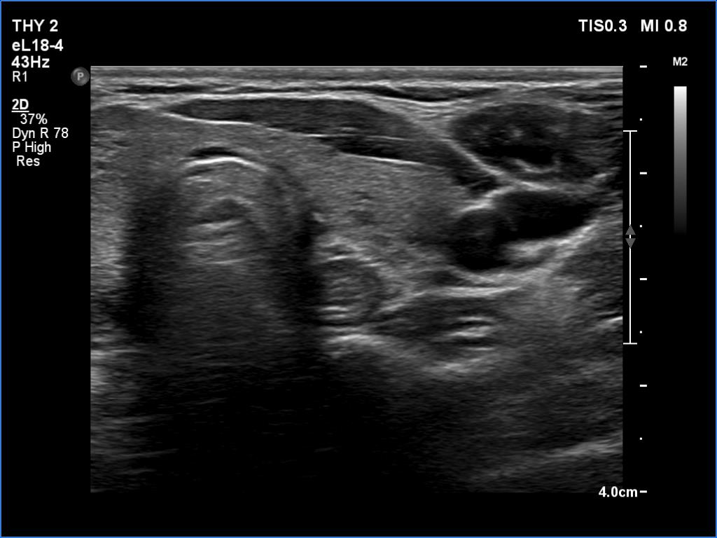
Right lobe, longitudinal scan

Left lobe, transverse scan. This lobe alaso presents hypoechoic areas.

 

 

 

 

mask