TIRADS - case 2169

Second examination a year later (ultrasonographic picture 3)


Previous picture Back to Case Next picture

Right lobe, longitudinal scan

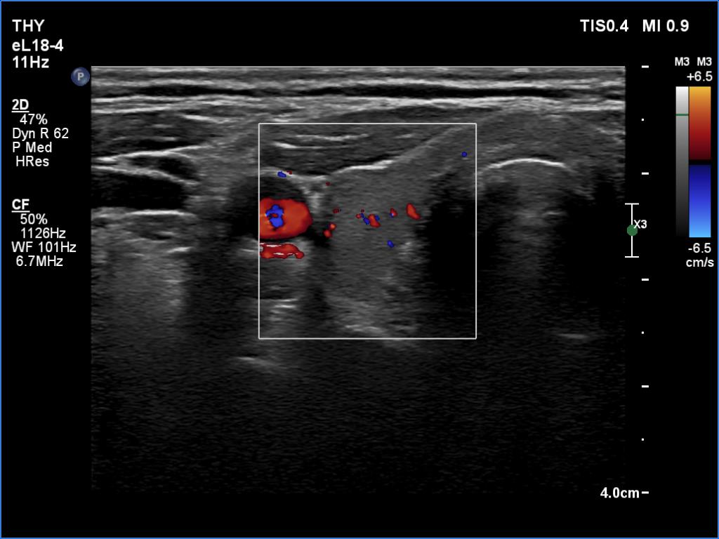
Right lobe, transverse scan, color Doppler method. The vascularization is average.

 

 

 

 

mask