TIRADS - case 239 (cytologic picture 4 of the smaller lesion)


Previous picture Back to Case Maximize Next picture

Right lobe, longitudinal scan

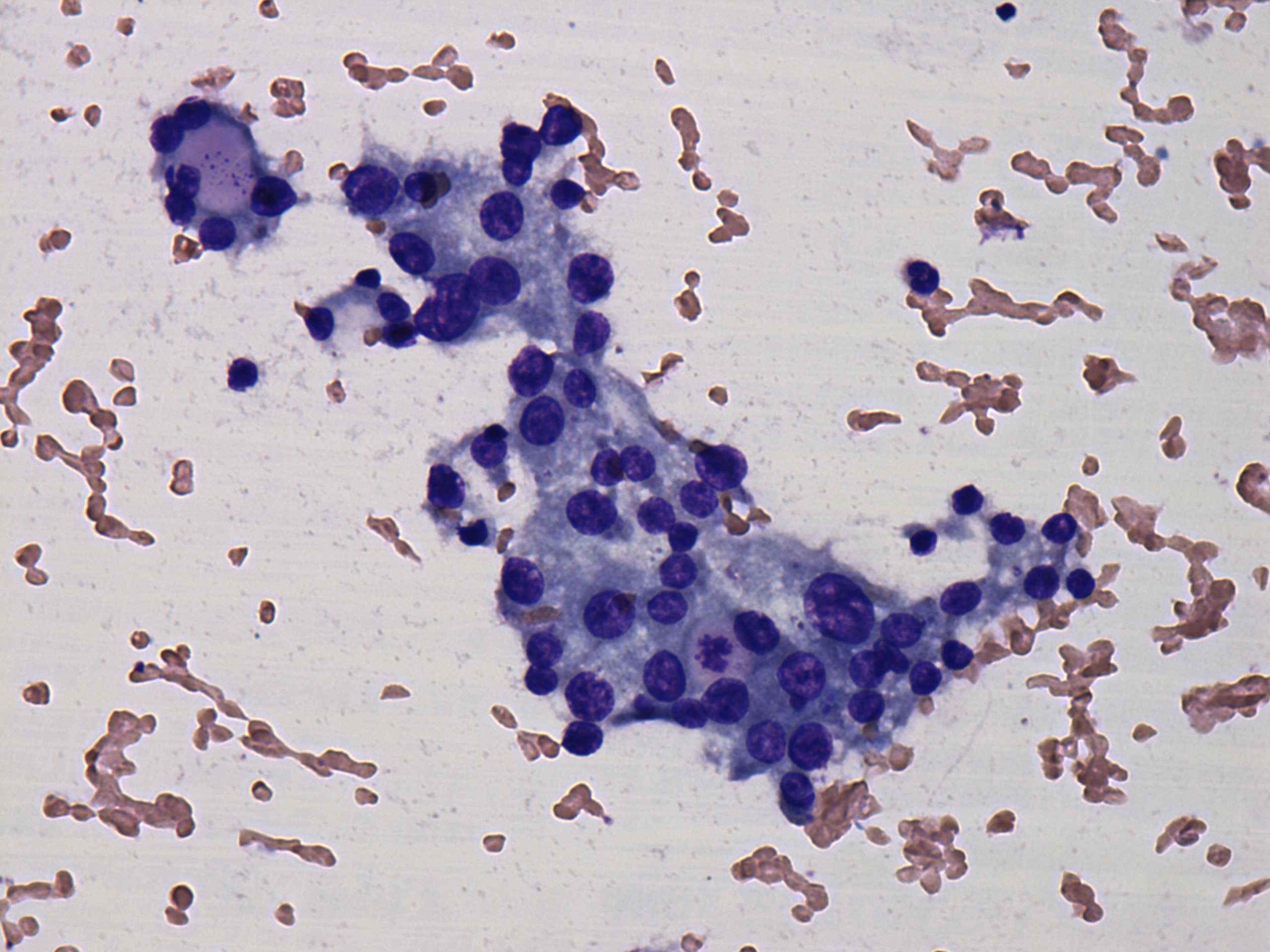
Wright-Giemsa staining, 400x.   Follicular cells are mixed with small lymphocytes.

 

 

 

mask