TIRADS - case conp 058 (cytologic picture 1)
|
|
|
|
|
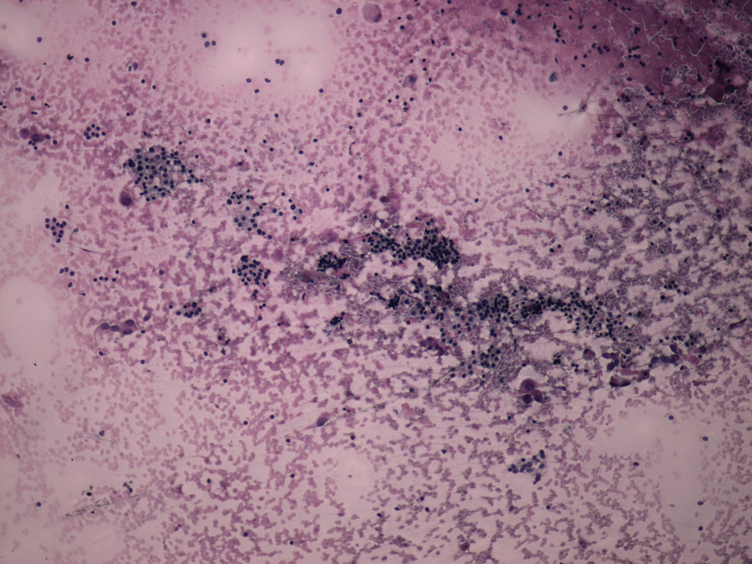
Pap-smear, 100x. There is diffuse colloid precipitate in the background. Follicular cells are found dissociated and in micro- and normofollicles.

