Subacute granulomatous thyroiditis - case 1285 |
|
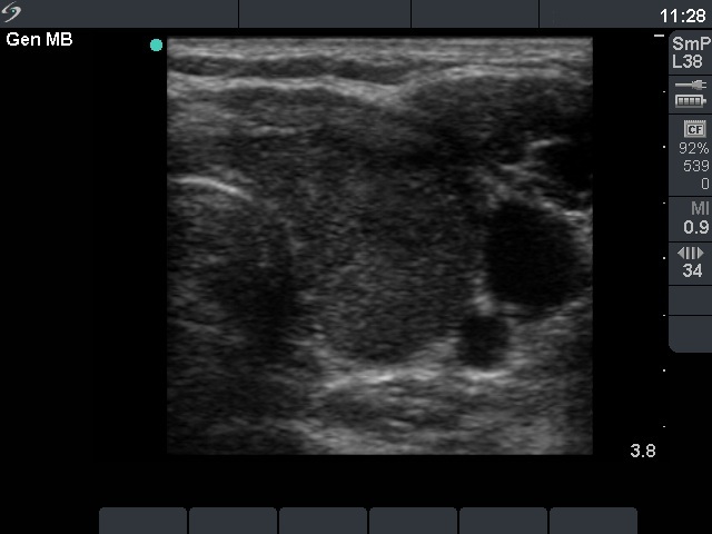
First examination (first and second row of images):
Clinical presentation: A 33-year-old woman was referred with typical complaints of subacute thyroiditis lasting for 6 weeks.
Palpation: Both lobes were hard and painful.
Functional state: moderate degree of hyperthyroidism with TSH-level 0.001 mIU/L, FT4 27.2 pM/L. Erythrocyte sedimentation rate was 49 mm/H, CRP was 9.2 mg/L.
Ultrasonography: The thyroid was hypoechogenic and inhomogeneous. The vascularization was average.
Cytological diagnosis: subacute, granulomatous de Quervain's thyroiditis.
Suggestion: steroid therapy for 6 weeks.
Follow-up examination 4 months after initial investigation (third row of images):
Clinical presentation: The inflammatory complaints of the patient suddenly stopped within 24 hours of the steroid intake and did not recur after discontinuation of the steroid.
Palpation: no abnormality.
Functional state: subclinical hypothyroidism with TSH-level 4.92 mIU/L, FT4 13.7 pM/L. Erythrocyte sedimentation rate was 11 mm/H, CRP was 0,9 mg/L.
Ultrasonography. The thyroid became smaller and the echo structure had normalized. Nevertheless, there were several minimally-moderately hypoechogenic areas in both lobes. There were no significant changes in the vascularization.
Follow-up examination 21 months after initial investigation (fourth row of images):
Clinical presentation: The patient had no complaints.
Palpation: no abnormality.
Functional state: euthyroidism with TSH-level 1.78 mIU/L.
Ultrasonography: The pattern has become completely echonormal. There were no significant change in the vascularization.
.

















