Subacute granulomatous thyroiditis - case 1514
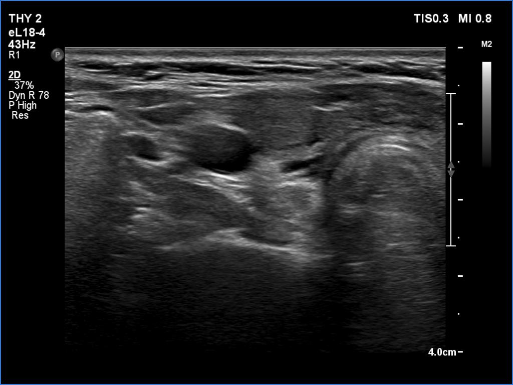
Second examination 3 months later (ultrasonographic picture 2)
|
|
|
|
Right lobe, another transverse scan. There is an echonormal or less hypoechoic lesion in the ventral part of the lobe.
