Subacute granulomatous thyroiditis - case 1514
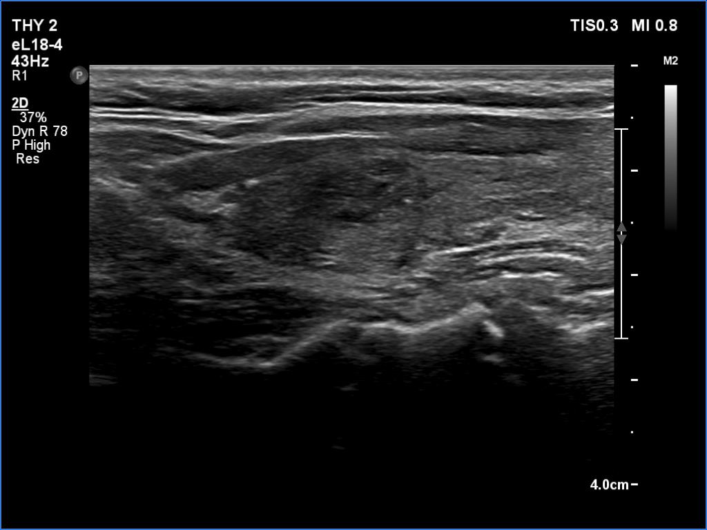
Second examination 3 months later (ultrasonographic picture 7)
|
|
|
|
Left lobe, longitudinal scan. Although the echogenicity of the lobe has not normalized, the degree of hypoechogenicity has decreased.
