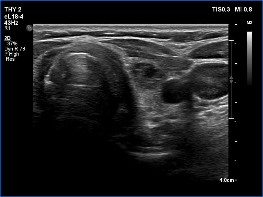
Subacute granulomatous thyroiditis - case 1514
Examination a year after the first visit (ultrasonographic picture 5)
|
|
|
|
Left lobe, transverse scan. The size of the discrete lesion did not change.
