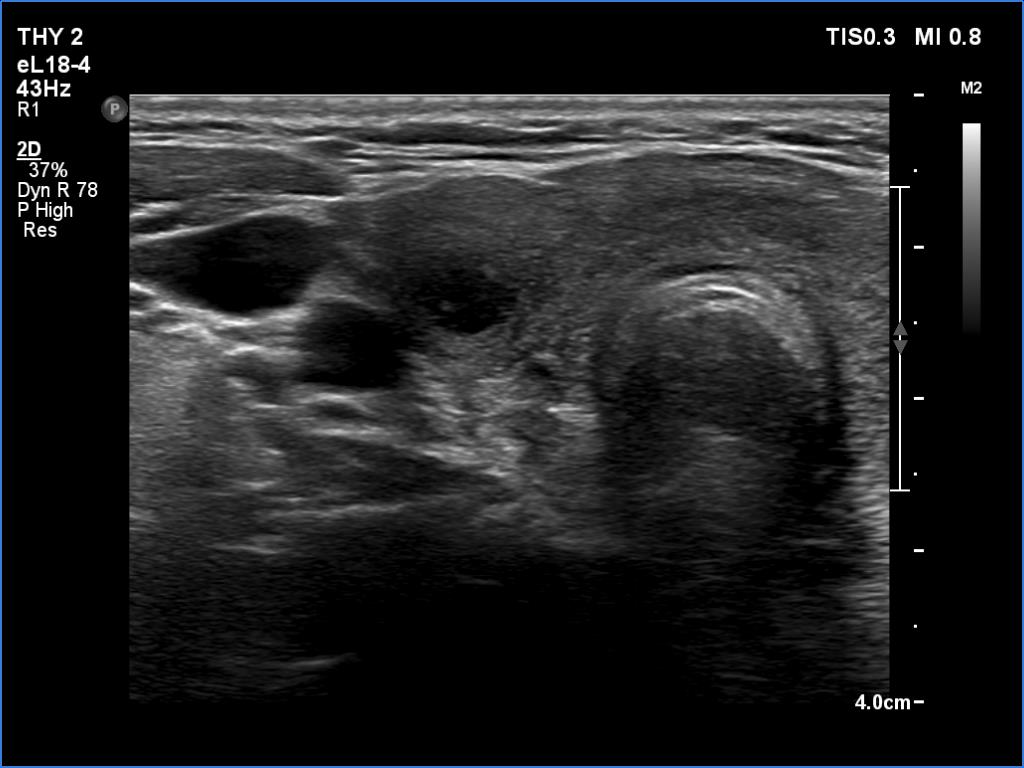
Subacute granulomatous thyroiditis - case 1514 (ultrasonographic picture 2)


Previous picture Back to Case Next picture

Right lobe, longitudinal scan

Right lobe, another transverse view. There is a deeply hypoechoic or cystic lesion.

 

 

 

 

 

 

mask