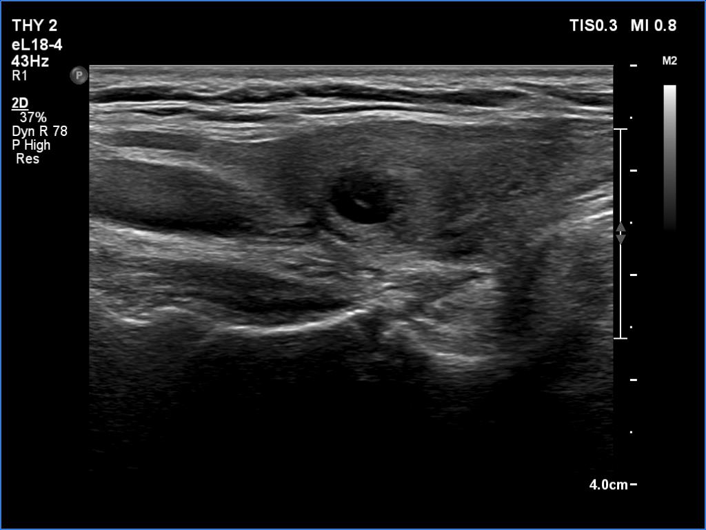
Subacute granulomatous thyroiditis - case 1514 (ultrasonographic picture 4)
|
|
|
|
Right lobe, another longitudinal scan. The echo amplifying dorsal to the lesion stands for being the lesion cystic.
