Subacute granulomatous thyroiditis - case 1777
Five months after the first examination (cytologic picture 1)
|
|
|
![]() |
|
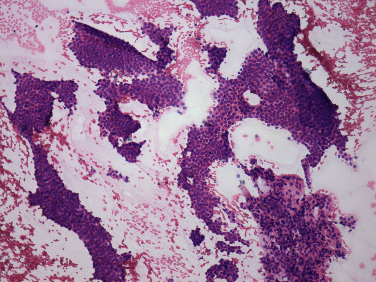
Pap-smear, 100x. There is no colloid in the background. Follicular cells occur in papillary cell groups and in monolayered sheets.

