Menu
2022-23 Advanced Papillon Course
Home
Case of the Month
Webinars
1 Introduction
2 Nodular goiter
3 Non-nodular thyroid
De Quervain's thyroiditis
Chapter Home
Introduction
Manual
Courses
Cases
Videolibrary
4 Non-thyroid neck
5 US-interventions
6 Advanced courses
7 Related topics
Supplement
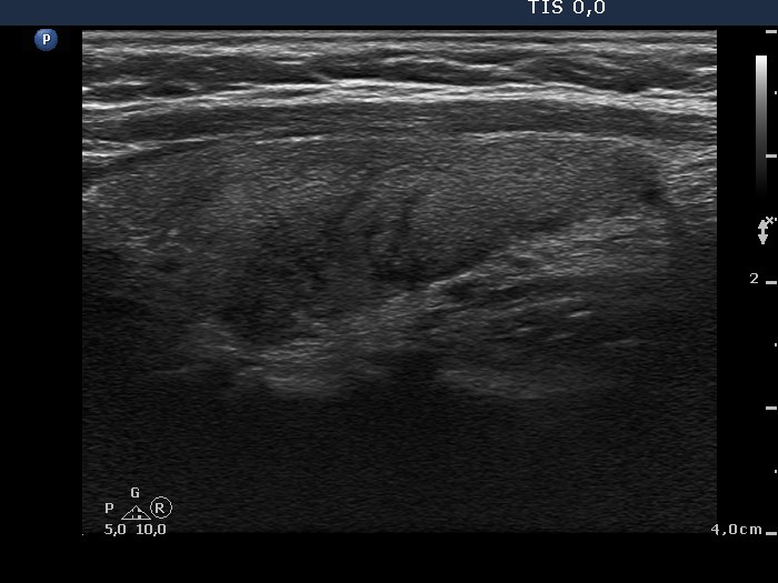
Subacute granulomatous thyroiditis - case 1790 (ultrasonographic picture 5)
Left lobe, longitudinal view.