Subacute granulomatous thyroiditis - case 264 |
|
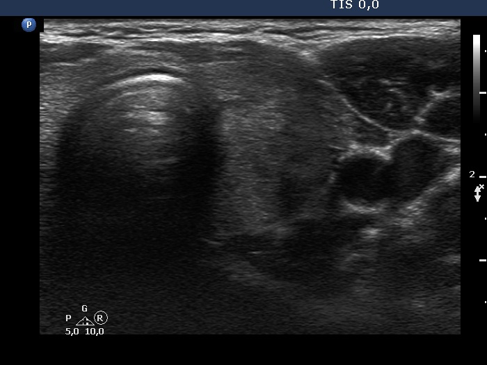
Initial examination (first row of images):
Clinical presentation: A 33-year-old woman was referred for evaluation of complaints suggesting hypothyroidism, including 12 kg weight gain, fatigue.
Palpation: Both lobes were palpable and not firm.
Laboratory examination: TSH 0.79 mIU/L, anti-TPO < 28 IU/mL.
Ultrasonography: The thyroid was echonormal and intact.
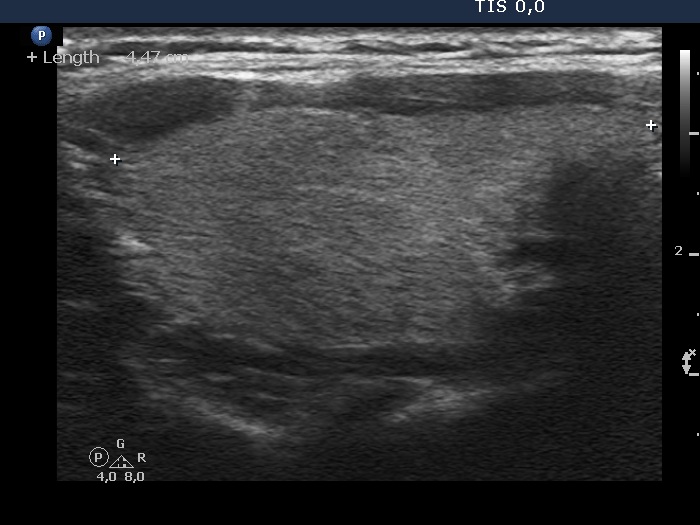
Two years after the first visit (second row of images):
Clinical presentation: The patient requested evaluation of neck complaints. Her left thyroid became painful and she became feverish 3 weeks ago. She suffered from upper airways infection 2.5 months before the onset of complaints.
Palpation: Both lobes became hard. The right lobe was very sensitive while the left was painful on palpation.
Laboratory tests: TSH 0.02 mIU/L, FT4 30.7 pM/L, CRP 51.8 mg/L.
Ultrasonography: The thyroid became minimally hypoechoic and more hypoechoic areas have appeared in both lobes. The echogenicity index was 20% and 50%, right and left lobe, respectively. The vascularity was decreased.
Suggestion. Steroid therapy.
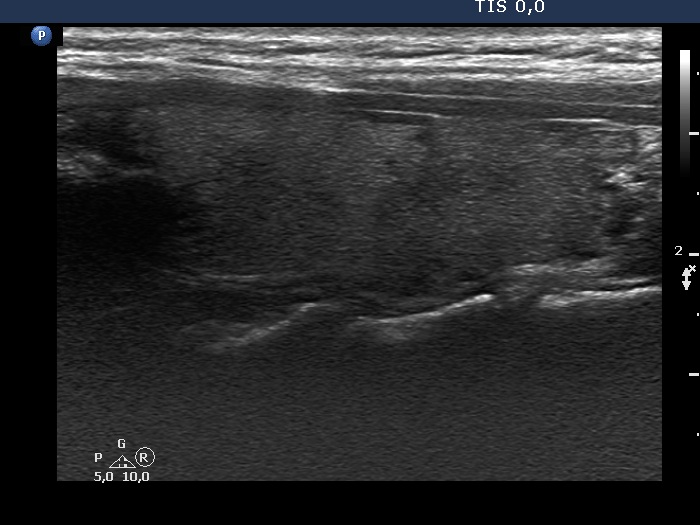
Four months after the previous examination (third row of images):
Clinical presentation: The neck complaints and elevated body temperature have immediately ceased and did not recur.
Palpation: no abnormality.
Laboratory tests: TSH 1.14 mIU/L, FT4 12.2 pM/L, CRP 0.49 mg/L, aTPO 0.6 U/mL.
Ultrasonography: The extent of hypoechoic areas has decreased. The left lobe became significantly smaller. The vascularity remained scanty.
Suggestion. Follow-up in six months.
Comment. This is a very rare situation that we examine a patient long before the onset of a subacute thyroiditis and therefore we can prove that her thyroid was healthy.













