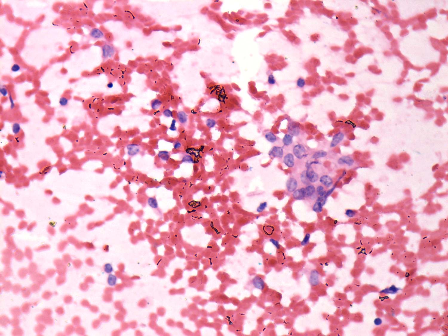
Subacute granulomatous thyroiditis - case 316 (cytologic picture 3)


Previous picture Back to Case Maximize Next picture



Pap-smear, 400x.   Lymphoid cells and histiocytes are demonstrated.  

mask