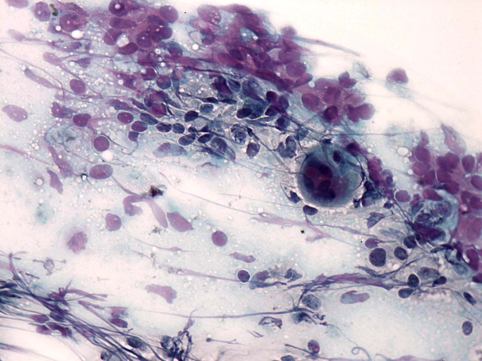
Subacute granulomatous thyroiditis - case 827 (cytologic picture 6 of another smear)
|
|
|
|
|
Pap-smear, 400x. Inflammatory, multiple giant cells and nuclear debris are found on this picture.


