Subacute granulomatous thyroiditis - case 827
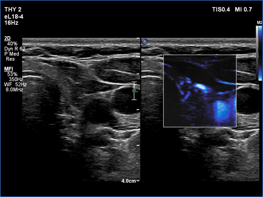
Follow-up examination five years later (ultrasonographic picture 8)
|
|
|
|
Left lobe, transverse scan, microflow imaging. The vascularity is decreased.
