Graves' disease - Case 1049

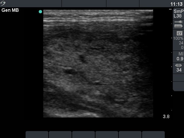
Initial investigation (ultrasonographic picture 2)

Patient with a newly discovered hyperthyroidism


Previous picture Back to Case Next picture

Right lobe, horizontal view

Right lobe, longitudinal scan. Around 50% of the thyroid is hypoechogenic.

mask