Graves' disease - Case 1049

Initial investigation (ultrasonographic picture 4)

Patient with a newly discovered hyperthyroidism


Previous picture Back to Case Next picture

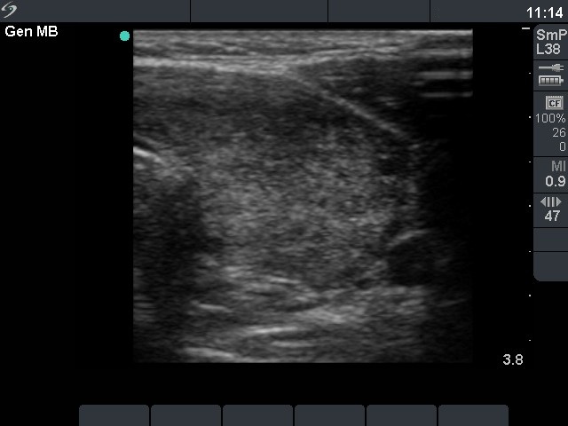
Right lobe, horizontal view

Left lobe, transverse scan. Around 50% of the thyroid is hypoechogenic.

mask