Graves' disease - Case 1049
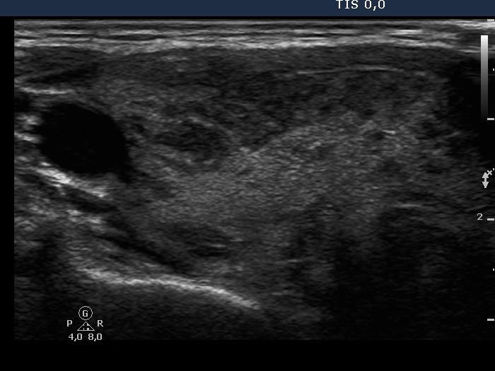
Follow-up investigation 32 months after first visit (ultrasonographic picture 1)
Patient 14 months after discontinuation of thyrostatic therapy in hyperthyroid state
|
|
|
|
Right lobe, transverse scan. The echogenicity index is around 30%.
